Verlag für Hämatologie und internistische Onkologie
Start
Publikationen
Veranstaltungen
Weiterbildungen
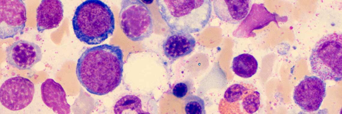
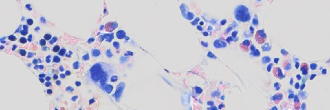
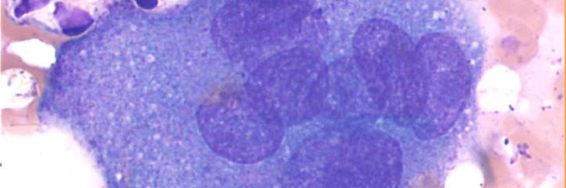
Zytologie-Fälle
Partner/Links
Kontakt/Anfrage
Zytologie-Fälle
Impressum
Datenschutz
nach oben